Worried about Perio? World-renowned periodontist Dr. Reena Wadia and 32Co have your back.
At 32Co, periodontal risk is the primary reason cases are deemed unsuitable for aligner treatment or require preliminary remedial work. Healthy gums are fundamental to successful tooth movement, so without a stable foundation, aligners can exacerbate existing issues - potentially leading to increased tooth mobility, gum recession, or even tooth loss.
As a GDP, it’s not always easy to judge whether a case is safe to proceed, or how best to manage periodontal concerns before alignment begins. The line between a ‘go’ and a ‘no-go’ case isn’t always clear. That’s where our newest service comes in.
With our latest platform update, 32Co dentists now have an exclusive opportunity to collaborate with Dr. Reena Wadia, a world-renowned periodontist, on any 32Co aligner cases with concerns about gum health.

Dr. Wadia, Founder of both RW Perio (a leading Harley Street clinic) and Perio School, has over a decade of clinical and teaching experience, making her one of the leading voices in periodontics today. Dr. Wadia can offer 32Co dentists complimentary expert advice on cases involving periodontal risk, with the aim of helping you to deliver safer, more effective aligner plans. Her guidance will include a diagnosis, assessment of risks associated with aligner treatment, management options, guidance on consent, and clear next steps.
How do I request Dr. Wadia’s support?
For 32Co dentists, if you’re working DUO, the orthodontist you’re working alongside may advise this, or - regardless of the case type - you can reach out and request this from the 32Co Clinical Support Team upon submitting your case.
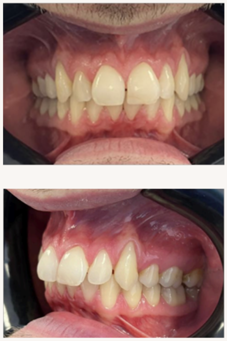
Real Cases, Expert Input
Here’s a case that Dr. Wadia recently worked on alongside a 32Co dentist. This DUO case was flagged by one of our orthodontists for Dr. Wadia’s expert opinion, given the patient's relatively young age and the extent of recession on UL3.
The dentist provided a 6-Point Pocket Chart to aid Reena’s assessment. The 6PCC showed notable clinical findings, including visible recession of approximately 2 mm around UL3. No mobility or furcation involvement was noted, though mild pocketing was present in the posterior regions.

So, what did Dr. Wadia advise?
Dr. Reena advised caution due to significant recession and a thin biotype at the UL3. The root was buccally positioned, increasing the risk of further recession if moved buccally or tipped outward.
Two options were proposed by Dr. Wadia:
1. Pre-treatment grafting (Coronally Advanced Flap and Connective Tissue Graft).
2. Proceeding with treatment if root movement was favourable, with informed consent for potential worsening recession.
During treatment, Reena urged that oral hygiene should be optimal and not too aggressive, focusing on a gentle but thorough approach. Reena noted that consent should include the potential for root resorption, which should be monitored with radiographs if mobility changes. Dr. Wadia reassured the dentist that these issues weren’t a reason to delay treatment but that the dentist should ensure that a full periodontal chart with recession measurements was
completed before starting and reviewed every 6 months.
Did the case go ahead?
With Dr. Wadia’s expert input and informed consent in place, treatment moved forward under a carefully designed plan to minimise risk. This collaborative approach gave the dentist
confidence and reassured the patient, aligning expectations and ensuring everyone was aware of potential risks before starting.



.png)
